« Cases /
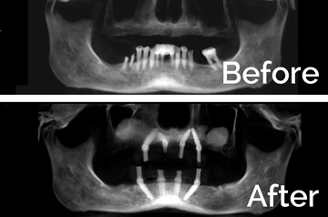
All-on-Four Dental Implants
Dental Implants
Published: October 16, 2014
- Extractions with Alveoloplasty and Immediate Implants
- Temporary Denture Conversion into Temporary Bridge